PARTNERING WITH MEDICAL AND TECHNOLOGY LEADERS GLOBALLY
LIVE CASE TRANSMISSION
INTERVENTIONAL
Working closely with proceduralists and medical device companies, we support your case requirements and technical workflows.
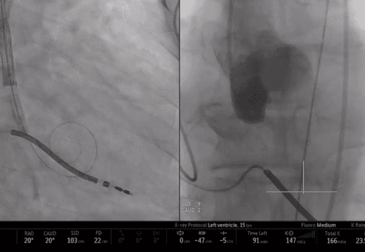
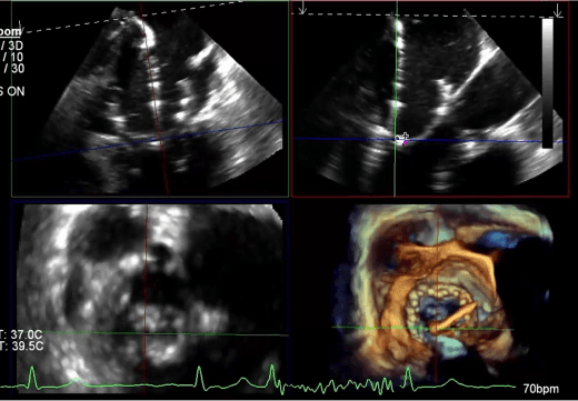
COMPLEX STRUCTURAL HEART
Multimodal display of devices gives proceduralists and teams a complete view of the entire case to refine processes, decision-making and future analysis.
SIMULATION TRAINING
SXR provides efficient and secure applications for hospitals and surgeons to manage their data and surgical performance.
ROBOTIC ANALYSIS AI
Collaborating with robotic surgeons, SXR's AI analysis tools chapter, assess and design best practice processes and techniques.
The SXR platform improves current and future medical procedures.
SIMULATION TRAINING
Securely capture cases and take control of your data for review, training and collaboration in your personal cases library.
IN THE NEWS
Artificial intelligence watches hospital workers put on PPE to check for COVID safety
SXR develops a ground breaking PPE AI application to provide safety to healthcare workers putting on and taking off PPE.
Robotics undock simulation training
Professor Michael Wilson, Co-founder of Surgical XR spoke at the 2024 Society of Robotic Surgery | SRS Annual Meeting in Orlando, Florida.















